눈밑성형
JAYJUN PLASTIC SURGERY
제이준 눈밑지방제거
과도한 지방을 자르거나 레이저로 태워 지방을 제거함으로써
평평하고 매끈한 눈가로 만들어주는 수술
수술시간30분~1시간
마취방법수면마취, 국소마취
입원여부당일 퇴원
실밥제거불필요
* 개인의 상태에 따라
달라질 수 있음
회복기간5~7일
개인의 상태에 따라 출혈, 멍 등
부작용이 발생할 수 있으며
회복기간이 다를 수 있습니다

제이준 눈밑지방제거
수술대상
01
다크써클 때문에 인상이 칙칙해 보이고 아파 보이는 경우
02
눈밑 지방이 불룩하게 돌출된 부위가 처져서 눈밑이 그늘지는 경우
03
화장을 하여도 눈 밑의 어두운 부분이 가려지지 않는 경우
04
눈밑 지방이 돌출되고 울퉁불퉁하여 노안으로 보이는 경우

제이준 눈밑지방제거
수술방법
01

눈 밑에 튀어나온 지방의 범위와 모양을 진단하여 디자인
02

눈꺼풀 안쪽의 결막을 레이저로 최소 절개
03

결막을 통해 과도한 눈밑지방을 제거
04

탄력있고 환한 눈매로 완성
제이준 눈밑지방제거
눈밑지방제거의 특징
point 01
흉터최소화
눈밑 안쪽의 결막을 통해 수술하기 때문에 흉터 거의 없음
point 02
숙련된 전문의 집도
눈밑이 너무 꺼져 보이는 현상을 예방하기 위해서 눈밑의 지방을 적당히 제거
point 03
환하고 밝은 인상
눈 밑이 고르고 평평하게 되어 다크써클이 개선되고 밝아지는 인상

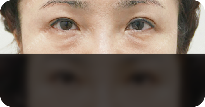
제이준 눈밑지방제거
전후사진
이미지를 클릭하시면 수술전후 사진을 확인할 수 있습니다.
제이준 성형외과 눈성형의 특별함
아름다움의 기준, 당신의 제이준
개인별 1:1 맞춤 눈성형
눈과 얼굴의 균형과 조화를 고려하여
가장 이상적인 수술방법 적용

전문적인 협진 시스템
진료의사, 수술센터, 코디팀, 치료센터
전문적이고 체계적인 구성으로
상담부터 수술 후 케어까지 안전하게

부기/흉터 최소화, 빠른 회복
숙련된 전문의 시술로 적은 부기,
빠른 일상생활로 복귀를 위한
전문 관리사의 후 관리 프로그램

만족도가 높은 눈성형
결과에 책임을 지겠다는 생각으로
수술에 임하는 전문의
높은 만족도와 낮은 재수술 비율

연구하는 전문 의료진
제이준성형외과 전문의의
섬세하고 정확한 수술 노하우로
만족스러운 수술 결과 선사

1:1 전담 마취 시스템
마취통증의학과 전문의 상주로
수술 중 책임 전담 마취를 시행,
안전을 위한 응급상황 대체 시스템

 |
|